
A tool developed at the University of Edinburgh has been shown to detect signs of motor neuron disease (MND) in brain tissue earlier than currently used tests.
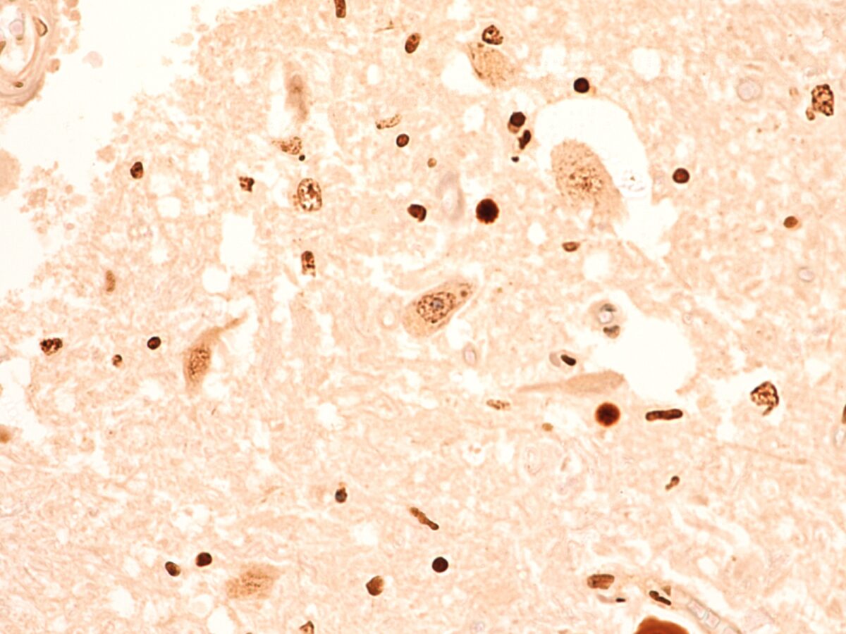
In a new study, the novel TDP-43 RNA aptamer identified damaged cell proteins in brain tissue samples before the cells malfunctioned, which is when symptoms would start to appear, and current tools pick up the disease.
The researchers, from the universities of Aberdeen and Edinburgh, say the aptamer could trigger a step-change in MND research, supplementing or replacing some traditional antibody approaches for detection and eventually leading to earlier diagnosis of MND and other neurodegenerative diseases, such as frontotemporal dementia (FTD).
Funded by Target ALS, the findings are published in Acta Neuropathologica.
Dr Holly Spence, a co-author of the study from the University of Aberdeen said:
Our findings have implications for early diagnostics and intervention prior to symptom onset in MND.
With better ability to detect disease we might be able to diagnose people with MND earlier, when therapeutic drugs might be much more effective. ”
The aptamer was invented in 2022 by Dr Mathew Horrocks, from the University of Edinburgh’s School of Chemistry, and collaborators working at the Instituto Italiano di Tecnologia, King’s College, London, and the Centre for Genomic Regulation in Spain. The researchers were based in Edinburgh’s Institute for Regeneration and Repair.
Dr Horrocks said:
This is the first time that our TDP-43 aptamer has been used in human tissue and we’re excited by its ability to detect a pathological form of the protein that has so far been difficult to characterise. ”
An earlier paper in Nature Communications demonstrated the tool’s efficacity. The team is being supported by Edinburgh Innovations, the University of Edinburgh’s commercialisation service, to license the patented aptamer.
Dr Jenna Gregory, who led the study from the University of Aberdeen, said:
This tool ‘targets’ the disease protein and allows us to see where toxic clumps are building up in the body. It can do this for much lower amounts of disease proteins, and with greater accuracy than ever before.
This could be a game-changer for MND research, diagnostics and treatment. ”
Motor neuron disease, also known as ALS, affects around 5000 people in the UK and is caused by the accumulation of certain proteins in the brain that clump together, causing the cells to gradually stop working and, as the disease progresses, it impairs movement, thinking and breathing.
Early detection of these accumulating proteins in people with MND remains a major challenge to successful treatments.
Dr Brian Dickie, Director of Research at the Motor Neurone Disease Association, said:
It often takes a year from the first onset of symptoms to receiving a diagnosis of MND. This innovative research into the early cellular changes occurring in MND offers exciting potential for the development of new tests to help reduce diagnostic delay. As treatment does not begin until the disease is diagnosed, earlier intervention will hopefully also mean that treatments are more effective. "

A new detection method for amyotrophic lateral sclerosis (ALS) and frontotemporal dementia (FTD) using single-stranded RNA aptamers to selectively detect TDP-43 protein aggregates.