

The team at Edinburgh Innovation (EI) are delighted to congratulate Dr Qiang Wang who has been nominated in the Early Career Entrepreneur of the Year category at the Cancer Research Horizons Innovation & Entrepreneurship Awards in London in March.
The category celebrates PhD or Postdoctoral early career cancer researchers who have demonstrated excellence in entrepreneurial initiative. He is currently a Postdoctoral Researcher at the Institute for Regeneration and Repair.
Andrew McBride, Wellcome (iTPA) Entrepreneur in Residence at EI, said: “Qiang is an inspirational example to celebrate World Cancer Day. With support from EI, he is leading a collaborative project developing innovative approaches for early detection of lung cancer. Mentorship to guide project progression, secure seed funding, and develop translational skills has enabled Qiang to accelerate development of his diagnostic technology.”
Lung cancer is the leading cause of cancer death worldwide. This is partly because most lung cancer patients are diagnosed at a late stage, leading to poor survival rates. Early detection through fast and reliable characterisation of lung cancer is critical to enabling timely, patient tailored treatments to improve patient survival rates. Currently, there is no routine screening for lung cancer due to the lack of reliable and accessible diagnostic technologies.

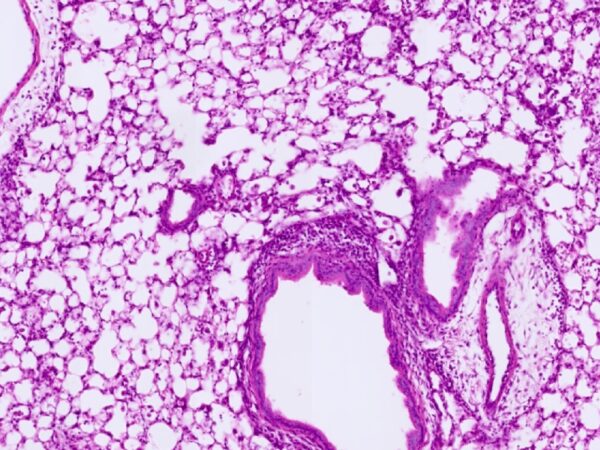
To address this unmet need, Dr Wang is involved in a research project to characterise lung cancer by applying artificial intelligence to ensure the disease is recognisable during an endoscopic procedure. The team captures images of lung tissue using a special microscopy technique. They then process these microscopy images using AI to diagnose lung cancer and characterise its subtypes.
Dr Wang said: “Cancer Research Horizons support was vital as it enabled us access to valuable patient samples to expand the capabilities of our technology. They provided much needed additional funding via their Early Detection and Diagnosis Primer Award. In future, it is reassuring to know that we have the continued support of Cancer Research Horizons for the development of our technology.”
To find out how you can access the University’s expertise in cancer and genetics and collaborate on future research projects, contact Jenny Cameron, Business Development Executive, College of Medicine and Veterinary Medicine Jenny.Cameron@ei.ed.ac.uk
Related Links


